Best Dental Clinic in Godadra, Surat – Dr. Choudhary Dental Clinic When it comes to maintaining a healthy and confident smile, choosing the right dental clinic is

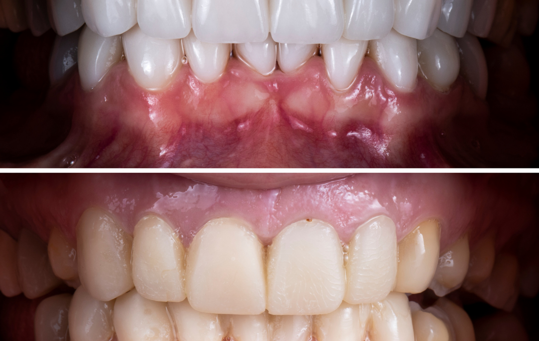
Gum Inflammation Treatment: Causes, Symptoms & Best Dental Care Solutions Gum inflammation, medically known as gingivitis, is one of the most common oral health problems affecting people










